MyoD1 Antibody (Immunohistochemistry)

Attributes

  • product-brand: Talent biomedical

MyoD1 Antibody (Immunohistochemistry)

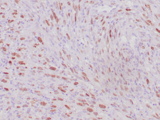
The MyoD1 (Myogenic Differentiation 1) Antibody is a highly specific IHC marker.
It helps diagnose rhabdomyosarcoma and other tumors of myogenic origin.
In addition, MyoD1 is a 45 kDa nuclear transcription factor and a member of the
Myogenic Regulatory Factor (MRF) family, which also includes Myf5, Myf6, and Myogenin.

Moreover, MyoD1 plays a critical role in skeletal muscle differentiation and gene regulation.
As a result, strong nuclear positivity becomes a key diagnostic indicator for
alveolar and embryonal rhabdomyosarcoma.
Therefore, MyoD1 is an essential part of the diagnostic panel for muscle-derived tumors.

🔬 Features and Benefits

  • Specific marker for skeletal muscle tumors such as rhabdomyosarcoma
  • Clear brown nuclear staining in positive cells
  • Helps distinguish myogenic from non-myogenic sarcomas
  • Compatible with routine IHC protocols
  • Stable for up to 18 months at 2–8 °C

💡 Diagnostic Applications

  • Diagnosis of alveolar and embryonal rhabdomyosarcoma
  • Differentiation between myogenic and non-myogenic sarcomas
  • Research involving muscle differentiation and MRF gene regulation

🌐 Fardad Azma Rad Co.

Fardad Azma Rad Co., the exclusive representative of
Talent Biomedical in Iran, supplies premium-quality IHC antibodies such as MyoD1.
Furthermore, the company focuses on clinical accuracy, scientific reliability, and international diagnostic standards.
As a result, pathology laboratories and cancer research centers across Iran receive consistent and trusted support.

“Download Brochure”

Item Description
Product Name MyoD1 Antibody (Immunohistochemistry)
Application Immunohistochemical detection of MyoD1 in rhabdomyosarcoma and myogenic tumors
Antigen Localization Nucleus
Sample Type FFPE tissue sections (3–5 µm)
Detection Method IHC staining using DAB chromogen
Positive Control Rhabdomyosarcoma tissue
Available Volumes 0.2 ml, 1 ml, 3 ml, 6 ml, 11 ml
Storage Conditions 2–8 °C
Shelf Life 18 months from production date
Manufacturer Talent Biomedical Technology Co., Ltd. – China
Exclusive Representative in Iran Fardad Azma Rad Co.

There are no reviews yet.

برای ثبت نظر خود، لطفا وارد سایت شوید.